Главная
/
Скайсы
Скайсы в Стоматологии Малистом
Акции и скидки
Компьютерная томография и лечение под микроскопом
Срок действия
Постоянная акция
Дмс ресо-гарант
Срок действия
Постоянная акция
Представлены текущие акции
Новые предложения появятся позже
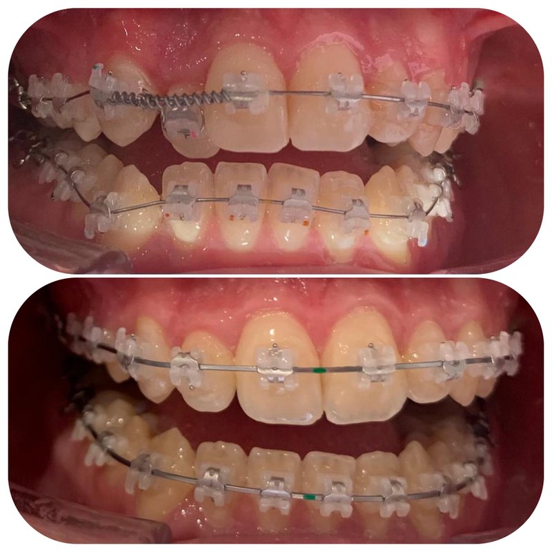
Фотогалерея
Отзывы
5,0
Анастасия Б.
Потрясающий доктор. Очень кропотливо подходит к разным задачам, при этом разрешается всë стремительно и с однозначной уверенностью и обстоятельностью. Чувствуется, что доктору нравится его дело, любые кейсы. Очень строгий (отчитает неоднократно за неследование рекомендациям), но добрый и эмпатичный - что в наше время вообще драгоценно. А уровню такта, высокоуровневой речи и тому, как доктор держится в пространстве - может позавидовать любой топ-менеджер любой корпорации. Благодарна невероятно, желаю Артуру Мурадовичу и его коллегам сохранять огонь внутри на долгие годы вперëд. Душевнейшее Спасибо! Спать снова без зубной боли - истинный дофамин.
3 февраля 2026 Отзыв взят с сайта Zoon.ru
5,0
Ирина
В стоматологии все было очень хорошо! Я приходила проверить полость рта, консультировалась, также хотела узнать вопрос по одному зубу. Врач профессионал, понравился отношением и подходом, так как я боюсь стоматологов, все посмотрел, провел лечение, дал направление на КТ, так как надо будет дальше смотреть все. Еще собираюсь пойти на чистку. Клинику выбрала через соцсети в интернете, где попросила посоветовать стоматологию.
29 февраля 2024 Отзыв взят с сайта Zoon.ru
5,0
Светлана
Я посещаю Ольгу Валерьевну очень давно, она мне нравится. Врач выполняет качественно свою работу, оказывает прекрасное отношение к пациенту. В последний раз заменила и поставила мне пломбу. Доктор отвечает на все мои вопросы и решает проблемы, я в восторге от неё. Приду ещё, чтобы поставить коронку.
27 января 2024 Отзыв взят с сайта Zoon.ru
5,0
Алла
Я пришла с проблемой, мне ее решили, все отлично! Обратилась в выходной день, искала стоматологию, где работают, так как болел зуб, пошел отек. Стоматологи-хирурги внимательные, сняли мне отек, чтобы ничего не копилось и не образовывалось, дали рекомендации и назначения, сказали, что пить, прописали антибиотики, обезболивающее и полоскать. Клиника находится территориально близко и работают компетентные сотрудники.
27 января 2024 Отзыв взят с сайта Zoon.ru
5,0
Екатерина
Меня все устроило, сделали то, что нужно, проконсультировали, ребенок не плакал! Обращались в клинику по вопросу герметизации зубов, на консультации доктор объяснил и рассказал все, что меня интересовало. Стоматолог приветлив, находит общий язык с детьми и учитывает все пожелания, исключая все, что может не устроить меня как клиента.
27 января 2024 Отзыв взят с сайта Zoon.ru
5,0
Анонимный пользователь
Понравился специалист и время и качество выполнения работы. Обращался к стоматологу-терапевту. По запросу все услуги врач выполнила. Записали быстро, сразу согласовали время. Ранее также приходил на консультацию.
27 января 2024, отредактирован 1 марта 2024 в 11:26 Отзыв взят с сайта Zoon.ru
5,0
Алина
Доктор понравилась, все рассказала, объяснила, не было претензий, вопросов. Мне показалось, что у меня воспаление десны, но врач сказала, что все в порядке, рекомендовала обратиться к ортодонту, хирургу. Выбрала стоматологию, так как она рядом с домом. Записаться было удобно.
26 января 2024 Отзыв взят с сайта Zoon.ru
5,0
Инна Новикова
Очень важно, чтобы в клинике был ортодонт! У меня отвалился ретейнер, нужно было его подклеить, обратилась в Малистом. Врач меня выслушала, сделала именно так, как я попросила, была чуткая. Я осталась в хорошем настроении.
29 декабря 2023 Отзыв взят с сайта Zoon.ru
5,0
Александр
Изначально мне было удобно посетить клинику из-за местоположения, но мне сделали качественную пломбу, я остался доволен и теперь регулярно хожу в стоматологию. В последний раз я ставил коронку, все прошло хорошо: коронка установилась и я смог ей пользоваться.
29 декабря 2023 Отзыв взят с сайта Zoon.ru
5,0
Екатерина
Нравится терапевт Ольга Валерьевна Безбородько, она хорошая доктор, объясняет все свои действия понятным языком. Все, что врач полечила, в порядке. Доктор доброжелательно и профессионально взаимодействует со мной. Я очень много зубов лечила, делала чистку десен.
29 декабря 2023 Отзыв взят с сайта Zoon.ru
5,0
Валерий
Все было быстро. В других поликлиниках целую канитель разводили. А в данном месте раз и все! Доктор провел осмотр и проконсультировал по протезированию. Я получил план всех будущих работ, спасибо большое.
28 декабря 2023 Отзыв взят с сайта Zoon.ru
5,0
Мария
Все было хорошо, не было замечаний никаких. В последнее посещение у меня была чистка зубов. Доктор меня проконсультировал заранее, проявил замечательное отношение. Собираюсь посещать стоматологию дальше.
23 декабря 2023 Отзыв взят с сайта Zoon.ru
5,0
Юлия
Нравится все, начиная от обслуживания и заканчивая самой работой. Скажу честно, очень боюсь стоматологов. Врач сделал все, чтобы я не боялась, проговаривал все действия, говорил, когда нужно потерпеть, это немного подготавливало. У меня было удаление зуба, кисты, десну зашивали. По окончанию врач посоветовал противовоспалительные пробиотики и антибиотики.
23 декабря 2023 Отзыв взят с сайта Zoon.ru
5,0
Анонимный пользователь
Очень люблю доктора Ольгу и являюсь клиентом со дня открытия клиники! Врач очень профессиональная, лечит меня уже третий год, все делает правильно и четко, относится деликатно и внимательно, думает про здоровье пациента в первую очередь. В этот раз я приходил с воспалением, доктор объяснила почему нужно удалить зуб, рассказала все про последствия и спасла меня, я очень ей благодарен.
23 декабря 2023, отредактирован 26 декабря 2023 в 19:18 Отзыв взят с сайта Zoon.ru
5,0
Анонимный пользователь
Все понравилось, в том числе сотрудники, которые приняли меня в день обращения и все сделали. Сломался ретейнер, а очень вежливый доктор срочно провел прием и за часик выполнил свою работу. Стоит отметить, что на данный момент я прекрасно себя чувствую.
22 декабря 2023 Отзыв взят с сайта Zoon.ru
5,0
Алена
Качество оказанной услуги понравилось, выполнили гигиену полости рта. Врач добрая, вежливая, профессионал своего дела. Посещаю стоматологию раз в год.
27 ноября 2023 Отзыв взят с сайта Zoon.ru
5,0
Оксана
Качество работы понравилось, делали чистку зубов, все прошло безболезненно, тщательно. Врач хороший, с ним было комфортно. Выбрала стоматологию по отзывам в интернете.
27 ноября 2023 Отзыв взят с сайта Zoon.ru
5,0
Сергей
Специалисты клиники качественно выполнили чистку зубов и установили пломбу. Доктор общался со мной вежливо.
24 октября 2023 Отзыв взят с сайта Zoon.ru
5,0
Юлия
Врач понравился, нашли взаимопонимание, устроил ее профессионализм, осталась довольна. Была на приеме у Ольги Валерьевны.
24 октября 2023 Отзыв взят с сайта Zoon.ru
5,0
Дарья
Качество предоставления услуг понравилось. Обращалась для пломбировки каналов, удаления кариеса. Выбрала стоматологию, так как она ближайшая к дому.
29 сентября 2023 Отзыв взят с сайта Zoon.ru
5,0
Анонимный пользователь
У нас была консультация, которая отлично прошла благодаря хорошему врачу. Она была внимательной, посмотрела очень маленького ребенка до двух лет и дала советы по дальнейшим действиям. Стоит отметить, что оплатить услугу мы смогли безналичным расчетом.
28 сентября 2023 Отзыв взят с сайта Zoon.ru
5,0
Руфа
Приняли меня вовремя, сделали все в определенные сроки, не обманули. Менеджер Светлана общалась со мной вежливо и грамотно. Нужно было починить мост, а стоматология оказалась поблизости в тот момент, но я сама из Астрахани.
8 сентября 2023 Отзыв взят с сайта Zoon.ru
5,0
Людмила
Я всегда довольна работой Ольги Валерьевны, она просто супер врач, нравится мне своим профессионализмом в первую очередь. У меня давняя история с этим доктором, пришла за ней из другой клиники, обычно обращаюсь к этому врачу для лечения зубов и прихожу на чистку. В клинике очень чисто и красиво, моя дочь также посещает ее.
21 июля 2023 Отзыв взят с сайта Zoon.ru
5,0
Инна
Врач прекрасная, отношение идеальное, вообще все в клинике мне понравилось. Доктор Юлия Николаевна Метелица все рассказывала, что нужно, что нет, и показывала, сфотографировала свою работу, показала результат, весь процесс работы. Я обращалась в другое место, там плохо сделали зуб, пломба выпала, поэтому пришла к врачу.
19 июля 2023 Отзыв взят с сайта Zoon.ru
5,0
Арина
Ольга Валерьевна отлично работает, качество пломбирования и терапии понравилось, форма зубов получилась красивая. Доктор быстро и четко все выполнила, внимательно отнеслась. Ассистент Сергей тоже хороший, я довольна, еще вернусь, потому что не доделала услугу.
1 июля 2023 Отзыв взят с сайта Zoon.ru
5,0
Наталья
Я делала протез, также посетила Ольгу Валерьевну. Доктор на высшем уровне, вопросов нет. С протезом все тоже хорошо, корректировка была, сказали подойти снова, но не могу, болею, ситуация не устаканилась, еще в процессе. У доктора наблюдаюсь первый год, она спасает меня как может. Работа безупречная! Мои проблемные зубы врач спасает.
14 июня 2023 Отзыв взят с сайта Zoon.ru
5,0
Рамиль
Давно уже хожу в клинику, хорошие врачи нормально работают. Я у разных наблюдался. Последний раз было удаление очень плохого, проблемного зуба мудрости. После процедуры наложили шов, я отлично себя чувствовал. Врач выписал препараты. Анестезия хорошо и быстро прошла. Заранее записывался, нашли удобное время и приняли. Заживление прошло быстро, без нареканий.
14 июня 2023 Отзыв взят с сайта Zoon.ru
5,0
Амина
Обладающий высоким профессионализмом хирург-ортопед мужчина внимательно ко мне отнесся, был вежлив, работу выполнил хорошо, аккуратно и безболезненно. Он молодец и супер, все на высшем уроне!
14 июня 2023 Отзыв взят с сайта Zoon.ru
5,0
Анонимный пользователь
Пришла к Ольге Валерьевне по совету подруги, она очень хороший, профессиональный и прекрасный стоматолог! Доктор хорошо ко мне относится, все рассказывает и объясняет, когда делает работу, от этого становится все понятно. Поставленные Ольгой Валерьевной пломбы хорошо держатся.
14 июня 2023 Отзыв взят с сайта Zoon.ru
5,0
Алена
В клинике все отлично, не первый раз у врача. Ольга Валерьевна качественно восстанавливает зубы и лечит их. Нравится ее общение и подход к работе. В этот раз мне установили пломбы, было сложное лечение.
14 июня 2023 Отзыв взят с сайта Zoon.ru
5,0
Юлия
Мне понравилась врач Ольга Валерьевна, в целом работа выполнена хорошо. Доктор все по делу говорит, ничего лишнего, зубы меня не беспокоят больше. Мне провели эстетическое лечение и установили пломбы.
13 июня 2023 Отзыв взят с сайта Zoon.ru
5,0
Виктория
Я довольна профессионализмом и хорошим, человеческим отношением профессионального врача Ольги, которая правильно подошла к своей работе, быстро, в кратчайшие сроки устранила проблему, хотя мы думали, что от нее невозможно избавиться стоматологическим путем. У онкобольного пациента очень сильно кровоточили десна, но доктор великолепно ему помогла! Стоит отметить, что отцу еще порекомендовали полоскать рот определенным раствором и принимать специальные таблетки. На следующий день нам стало лучше!
30 мая 2023 Отзыв взят с сайта Zoon.ru
0,0
Юлия Потякина
Сегодня удаляла зуб к сожалению фамилию врача не помню имя Артур,для меня шок был я даже не почувствовала как он мне обезболил ,👍все сделал отлично,спрашивал меня часто как я себя чувствую✌🏻Приятно когда работает профессионал своего дела!
26 марта 2023 Отзыв взят с сайта Zoon.ru
5,0
Ирина
Записалась на удаление к доктору, почитала отзывы и успокоилась. У меня тоже сложный зуб был. Ранее другой врач удалял похожий в 2 прием и- не хотелось бы что бы было опять так. Но доктор использовал более щадящий метод- на стадии заморозки, проверяя- как действует анестезия, стал разными инструментами потихоньку отделять зуб от десны, изучая анатомию зума и сделав менее травматичным само удаление. Так получилось дольше по времени, но надежнее, что бы не было осколков и сильных повреждений десны. Спасибо за профессионализм. Попутно было сказано им и рекомендовано чем снять боль в первые сутки, сколько может быть дискомфорт. Положил лекарство в рану...Спасибо. К таким специалистам ходишь без боязни
24 января 2023 Отзыв взят с сайта Zoon.ru
5,0
Людмила
Спасибо Ольге Валерьевне за спасенный "безнадежный" зуб. Отличный специалист, искренне старается помочь в любой критической ситуации.
10 июня 2022 Отзыв взят с сайта Zoon.ru
1,0
Валентина
Преимущества: Нет
Комментарий:
Очень неприятным было посещение вашей клиники.. даже не знаешь с чего начинать. Во первых стоматолог Ольга Валерьевна Безбородько - очень не квалифицированный специалист, не компетентна. Это был не первый приём, и каждый раз она этого Серёжу отсчитывает, на протяжении всего приёма. Серёжа это не так, то не так. Такой негатив, и ты лежишь и слушаешь это. От неё идут прям неприятные эмоции, и в это время она лечит мне зуб. Второе очень медленно работает. Три дня чистить каналы одного зуба - ну это вообще и плюс вы за это платите бешаные деньги. Ни где таких цен нет, как у них.
12 апреля 2022 Отзыв взят с сайта Zoon.ru
5,0
Марат
Приходил с целью установки пломбы, а также на комплексную чистку зубов. Все прошло отлично. Стоматология и врач понравились. Сейчас запускаю процесс имплантации двух зубов. После дополнительно напишу отзыв (через пол года).
2 ноября 2021 Отзыв взят с сайта Zoon.ru
5,0
Алексей
Мне нужно было удалить нижний зуб мудрости. Во всяких дентавитах меня запугивали двухчасовой сложнейшей операцией и прайсом тысяч в 15. Решил обратиться к королевским специалистам и не жалею. Хирург Михаил Сергеевич, молодой, но очень профессиональный доктор. Сделал все быстро и аккуратно, примерно полчаса ушло на удаление, при том что ещё несколько раз подпиливать зуб приходилось. Зашил аккуратно, нитки во рту не болтались, как у меня было после прошлого удаления. Прописал антибиотик и обезболивающее, дал все рекомендации. Болело в этот раз у меня гораздо меньше, через пару дней уже начал обходиться без обезболивающего. Через неделю сняли швы, осмотрели. В общем я очень доволен результатом. Собирался с мыслями целых три года, после прошлого удаления мудрости, но похоже нашёл в итоге оптимальное место для этого:)
13 октября 2021 Отзыв взят с сайта Zoon.ru
0,0
Мария
Спасибо Ольге Валерьевне Безбородько! Такой улыбки у меня никогда не было! Чуткий профессионал, знающий свое дело. Мне есть с чем сравнивать, лечилась у большого количества хваленых специалистов, но с Ольгой Валерьевной мало кто сравнится. Всем своим друзьям буду рекомендовать только ее!
11 августа 2021 Отзыв взят с сайта Zoon.ru
5,0
Шабашова Ангелина Михайловна
Преимущества: У меня с детства очень сильная боязнь стоматологов, проблемные зубы, которые просто сыпятся. Ольге Валерьевне, хирургу, ортопеду огромная благодарность! С ними мои зубы будут спасены!!!
11 августа 2021 Отзыв взят с сайта Zoon.ru
5,0
Наталия
Рушан Сурикович удалял мне сложный зуб. Все прошло замечательно. Доктор спокойный, вежливый. В процессе удаления все комментировал, успокаивал. Большое спасибо, доктор!
29 июля 2021 Отзыв взят с сайта Zoon.ru
5,0
Серёга Ведьмак
Прекрасный специалист и приятный в общении человек. Спасибо вам за отличную работу!
3 июля 2021 Отзыв взят с сайта Zoon.ru
1,0
Светлана
Не рекомендую врача Кобленц Ольгу Александровну! Проходила у неё лечение, человек абсолютно ничего не помнит , на ходу забывает ( до смешного), в день приема про лечение говорит одно , на следующий приём - другое, за все время 1 раз что то сказала на приеме, что делать собирается. Я все в интернете читала, чтобы понимать , что она мне делает!!!Закончили раньше времени лечение - так на меня повесили долг за месяц , который остался за чертой лечения. Неправильно установила ретейнер, зная что брекеты устанавливали только для того , чтобы далее устанавливать виниры!!! Полное безразличие к пациентам, одни деньги в глазах !!! И за неправильную установку ретейнера с меня «содрали» ещё денег !!! Просто беспредел. Больше я туда не поеду никогда. Найду другого врача для дальнейших осмотров. Если вы не хотите быть наживой в виде мешка с деньгами, а также чтобы к вам безразлично относились , то не стоит к ней обращаться никогда.
25 апреля 2021 Отзыв взят с сайта Zoon.ru
5,0
Светлана
Я приходила на удаление и имплантацию зуба. Все было в порядке, процедура прошла без эксцессов. Во время лечения мне было больно, но достаточно терпимо. Не дай бог, кому-нибудь придется устанавливать имплант. Это не самое приятное ощущение, когда все врачи одновременно ломают челюсть. Обезболивающее было нормальное, просто сама процедура неприятная. Но это нормально, доктор меня перед процедурой об этом предупреждал и во время установки импланта успокаивал. Все это длилось около часа. Сейчас все в порядке, имплант прижился. Через три месяца уже будет установка метало-керамической части. Общение с доктором было вежливое и позитивное. Работал доктор аккуратно и хорошо. Рекомендовал антибиотики и полоскание хлоргексидином.
19 апреля 2021 Отзыв взят с сайта Zoon.ru
5,0
Светлана
Удаляла зубы мудрости (3 штуки) перед установкой брекетов. Всем довольна, удаление прошло быстро и профессионально. Коронку буду ставить у этого доктора.
13 апреля 2021 Отзыв взят с сайта Zoon.ru
5,0
Элина
Мне нужно было срочно сделать снимок эта стоматология рядом с домом. Снимок сделали быстро, в течение 3-5 минут он уже был готов. В клинике хороший сервис. Чисто. Какие-то еще детали не успела заметить, так как была там очень мало времени.
31 марта 2021 Отзыв взят с сайта Zoon.ru
5,0
Марина
Впервые обратилась в эту стоматологию. Мне необходимо было вылечить кариес двух зубов. Когда я пришла, то врач встретила меня в холле и провела в кабинет. Специалист отлично выполнила свою работу. Она культурно обращалась, профессионально работала, без лишних слов и комментариев. Всё было сделано чётко и я осталась довольна результатом. Ещё буду сюда обращаться по мере необходимости. Я сама врач и могу сказать, что здесь очень следят за чистотой и соблюдаются санитарные нормы. Первый признак плохой уборки - это грязные плинтуса. Здесь же и плинтуса, и кафель в идеальной чистоте. И администратор хорошо общалась со мной.
29 октября 2020 Отзыв взят с сайта Zoon.ru
5,0
Наталья Коробова
Хочу выразить благодарность Ольге Валерьевне за профессионализм, за тактичность и комфорт. Была на приеме впервые, очень довольна, планирую лечиться и в дальнейшем, буду рекомендовать близким! Очень рада, что нашла врача, которому доверяю! Спасибо!
27 октября 2020 Отзыв взят с сайта Zoon.ru
5,0
Светлана Фуникова
Комментарий:
Я хожу постоянно только к стоматологу Ольге Валерьевны Безбородько. Весной и летом лечила у нее зубы и сейчас тоже. Мне нравится, что она всегда очень обходительна, всегда подробно все рассказывает, объясняет и показывает. У нее на приеме нет боязни, она всегда поддержит и снимет страх. Моя мама тоже делала в этой клинике протезирование и осталась очень довольна качеством выполненной работы.
22 июля 2020 Отзыв взят с сайта Zoon.ru
5,0
Екатерина Мальцева
Комментарий:
Я хожу постоянно только к стоматологу Ольге Валерьевны Безбородько. Весной и летом лечила у нее зубы и сейчас тоже. Мне нравится, что она всегда очень обходительна, всегда подробно все рассказывает, объясняет и показывает. У нее на приеме нет боязни, она всегда поддержит и снимет страх. Моя мама тоже делала в этой клинике протезирование и осталась очень довольна качеством выполненной работы.
17 июля 2020 Отзыв взят с сайта Zoon.ru
5,0
Оксана
Я впервые обратилась за услугой удаление зуба в эту стоматологию. Мне понравился врач-хирург, который меня обслуживал. Молодой человек кавказской национальности. К сожалению, я не помню его имя. Он профессионально и безболезненно оказал данную услугу. А самое главное то, что без последствий. Я обратила внимание, что на входе в клинику клиентам были предложены бахилы и антисептики, как положено. В общем, все здесь хорошо.
16 июня 2020 Отзыв взят с сайта Zoon.ru
5,0
Алексей
Стоматологию "Малистом" я уже успел посетить несколько раз. Я прохожу здесь комплексное лечение зубов подготавливая их под коронки. Мне нравится мой лечащий врач-стоматолог Ольга Валерьевна. Она все подробно объясняет и рассказывает, очень обходительна с клиентами. В общем, данный специалист вызывает к себе доверие. На сегодняшний момент меня все устраивает в ее работе. Плюс ко всему сама обстановка располагает к нормальному лечению, нет негативных факторов.
14 июня 2020 Отзыв взят с сайта Zoon.ru
5,0
Ирина
Была впервые на приёме у стоматолога, но имени врача, к сожалению, не помню. Мне будут проводить лечение зубов, но пока не начали и после будут устанавливать импланты и коронки. Пока вот думаю. Врач мне рекомендовал сделать КТ челюсти, чтобы он смог расписать тактику лечения. Также врач все объяснил и рассказал по коронке, какие манипуляции будет делать. Для меня в выборе врача, самое главное - качество. Я живу рядом со стоматологией. Внутри чисто и уютно, приветливый медперсонал и доступные цены.
12 июня 2020 Отзыв взят с сайта Zoon.ru
5,0
Леонид
Клиника находится рядом с домом и я решил впервые сюда обратиться на консультацию к ортодонту. Попал я на прием к Ольге Александровне Кобленц. Все, что меня интересовало, мы обсудили. Доктор хорошо провела консультацию, на все вопросы ответила, расписала план лечения. В дальнейшем я еще обращусь к этому специалисту. Записали меня на консультацию очень быстро, не пришлось ожидать. Я заметил, что помещение в клинике в хорошем состоянии.
9 июня 2020 Отзыв взят с сайта Zoon.ru
5,0
Алексей
Я впервые был в этой стоматологии. Нашёл её в интернете по отзывам, она была одна из лучших в моём районе. Стоматология находится недалеко от дома, что очень удобно, а ещё меня устроила здесь цена на услуги, она достаточно демократичная, поэтому я остановил свой выбор именно на ней. Попал я на приём к стоматологу Ольге Валерьевне Безбородько. Мне очень понравилась её приветливость и общение. Лечение было проведено качественно, работой врача я остался доволен. Теперь буду советовать этого стоматолога своим знакомым и друзьям. А ещё мне хотелось бы, чтобы руководство стоматологии выписало премию Ольге Валерьевне за отличную работу! Администратор на ресепшен встретила меня хорошо. Я пришёл немного раньше записи, приняли меня вовремя, без задержек.
18 марта 2020 Отзыв взят с сайта Zoon.ru
Удалить отзыв
Популярные услуги
Удаление зубов
от 1000 руб.
Виниры
20000 руб.
Базовая стоматология
от 500 руб.
Стоматологическая клиника
уточняйте по телефону
Имплантация зубов
от 30000 руб.
Отбеливание зубов
11000 руб.
Челюстно — лицевая хирургия
уточняйте по телефону
Ортодонтия
от 3000 руб.
Ортопедическая стоматология
уточняйте по телефону
Рентген зуба
уточняйте по телефону
Остались вопросы?
Вы можете воспользоваться любым из указанных способов связи
Контактный номер
+7 (904) 568-10-...
Показать